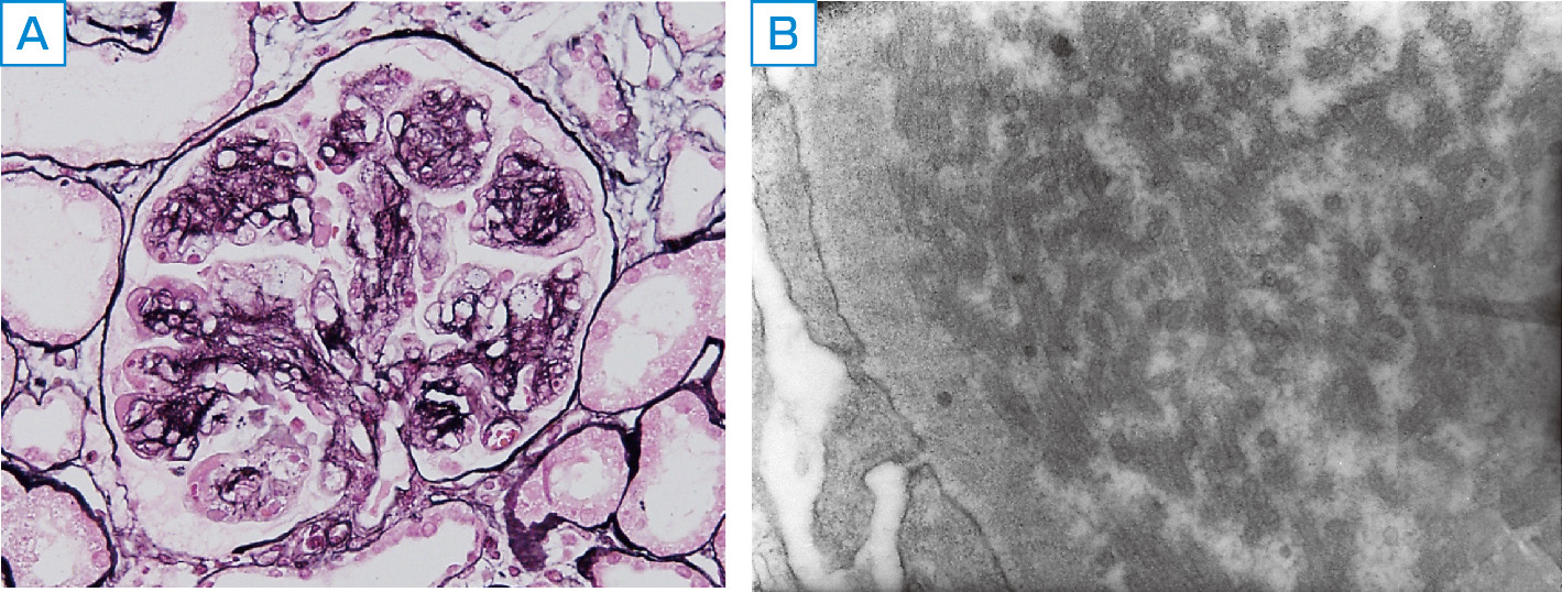
ⓔ図14-6-4 イムノタクトイド糸球体症の腎臓病理所見 A:膜性増殖性糸球体腎炎様病変 (PAS染色,×400). B:内皮下領域に認められる微小管状構造 (電子顕微鏡,×8000).
[拡大]