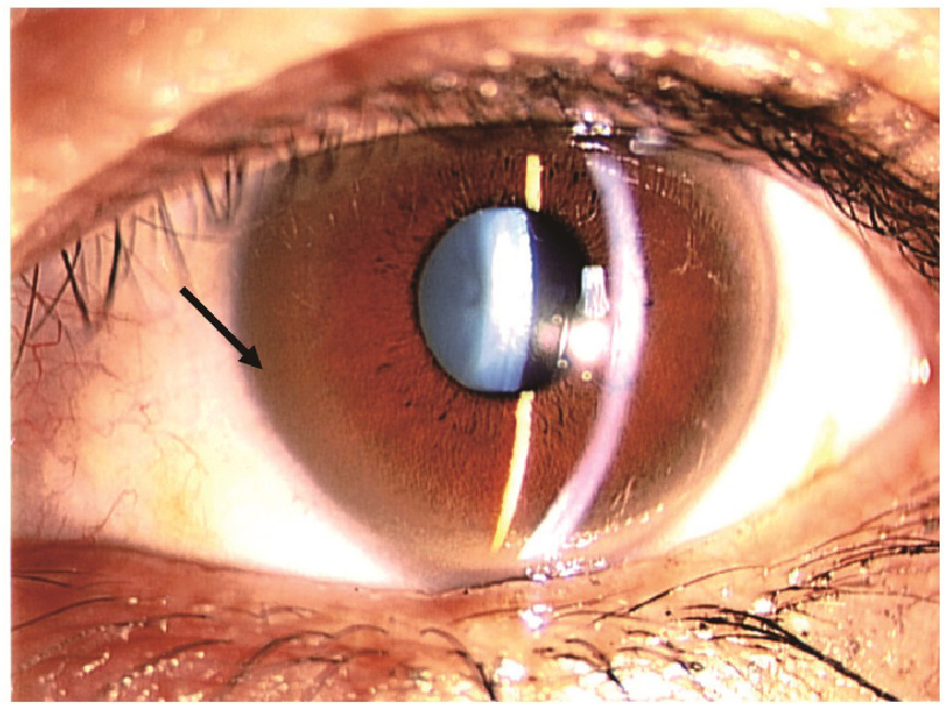
ⓔ図16-6-8 Kayser–Fleischer角膜輪
[拡大]