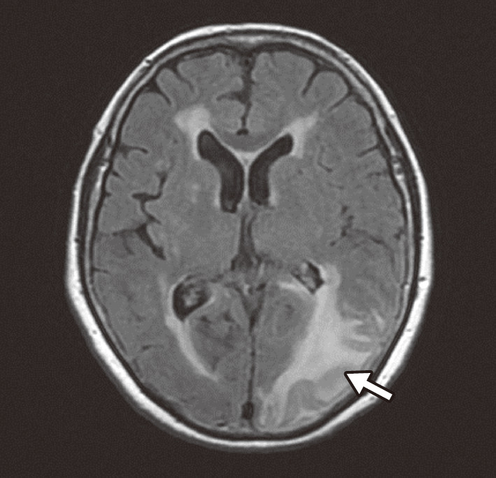
ⓔ図18-5-14 脳アミロイドアンギオパチー関連炎症のMR像
[拡大]