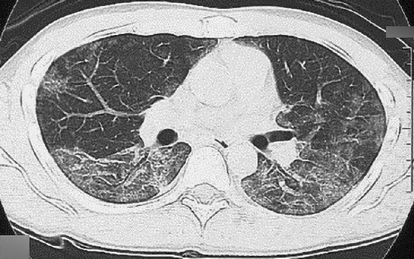
ⓔ図7-5-6 ニューモシスチス肺炎のCT所見 両肺びまん性にすりガラス様陰影がみられる.
[拡大]